events1
'HI' (2 chars)
events
21 (integer)
Verhindern, dass Krebszellen die Leber besiedeln

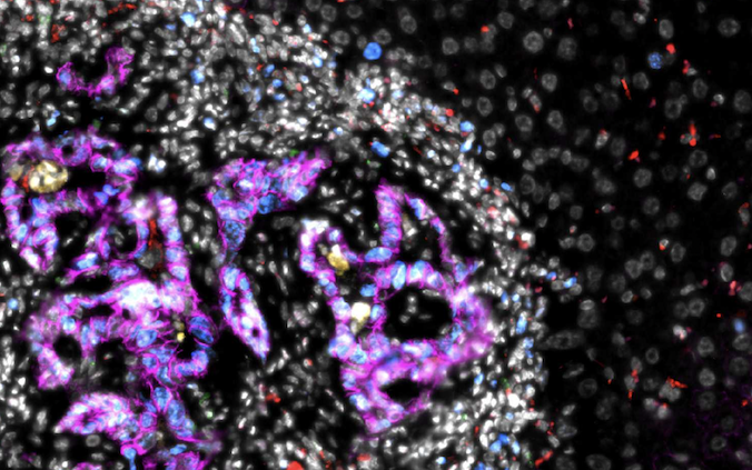
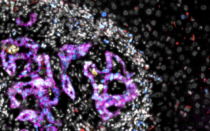
Ein Darmkrebsableger (linke Bildhälfte) in der Leber. In Magenta sind Darmkrebszellen zu sehen. Weiss darum herum sind andere Zellen innerhalb der Metastase (Mikroskopieaufnahme). Bild: ETH Zürich / Morgan Roberts, Elena Guido Vinzoni

Verhindern, dass Krebszellen die Leber besiedeln

Publiziert

Forschende an der ETH Zürich haben aufgedeckt, wie sich Darmkrebszellen in der Leber festsetzen. Ihre Erkenntnisse könnten neue Wege eröffnen, um dies künftig zu unterdrücken.

Wenn Krebserkrankungen tödlich enden, sind in neun von zehn Fällen Metastasen daran schuld: Ableger des sogenannten Ersttumors, die weitere Organe des Körpers befallen. Während die Medizin bei der Behandlung von Ersttumoren grosse Fortschritte gemacht hat, ist sie bei den Metastasen immer noch weitgehend machtlos. Medikamente, die neue Ableger verhindern, gibt es heute nicht.

Nun zeigen soeben in der Fachzeitschrift externe SeiteNaturecall_made veröffentlichte Resultate von Forschenden um Andreas Moor am Departement für Biosysteme der ETH Zürich in Basel auf, wie sich Darmkrebszellen in der Leber einnisten. Ihre Ergebnisse helfen, eine mögliche Behandlung zu entwickeln, mit der sich in Zukunft vielleicht die Bildung von Metastasen verhindern lässt.

Molekularer Andockmechanismus aufgeschlüsselt

Um neue Ableger zu bilden, lösen sich Krebszellen vom Ersttumor ab und gelangen in die Blutgefässe. «Dass der Darmkrebs in die Leber streut, hat mit unserer Blutversorgung zu tun», sagt Moor. Das Blut reichert sich im Darm zuerst mit Nährstoffen an, dann geht es in die Leber, wo die Nährstoffe verstoffwechselt werden. Für die sich verbreitenden Darmkrebszellen ist die Leber die Endstation. «Sie verfangen sich im Kapillarnetz der Leber», sagt Moor.

Wie Costanza Borrelli, Doktorandin in Moors Gruppe, und ihre Kolleginnen und Kollegen nun zeigen, hängt es in entscheidendem Masse auch von den Leberzellen ab, ob die hängengebliebenen Krebszellen an ihrem neuen Ort Fuss fassen können. Dass Krebszellen – wie Pflanzensamen im Boden – für ihr Wachstum auf ihre Umgebung angewiesen sind, weiss die Wissenschaft schon seit über 100 Jahren. Doch welche molekularen Mechanismen dabei eine Rolle spielen, lag bisher im Dunkeln.

Mit ausgeklügelten Versuchen an gentechnisch veränderten Mäusen haben Moor und sein Team herausgefunden, dass es auf bestimmte Proteine auf der Zelloberfläche ankommt: Wenn Leberzellen ein Protein namens Plexin B2 aufweisen und die Darmkrebszellen über bestimmte Proteine der Semaphorin-Familie verfügen, können die Darmkrebszellen an die Leberzellen andocken.

Wegweiser im Nervensystem

Dass Krebszellen, die auf ihrer Oberfläche Semaphorine zur Schau stellen, besonders gefährlich sind, belegen klinische Studien, auf die die Forschenden um Moor im Fachbeitrag verweisen. Die Studiendaten zeigen, dass sich bei Darmkrebspatientinnen und -patienten früher und öfter Lebermetastasen ausbilden, wenn ihr Tumor grosse Mengen von Semaphorin herstellt.

Plexin – und sein Interaktionspartner Semaphorin – waren der Forschung bisher für ihre Funktion im Nervensystem bekannt, wo die beiden Proteine wachsenden Fortsätzen von Nervenzellen den Weg weisen und so für deren korrekte Verschaltung sorgen. «Wieso auch Leberzellen Plexin bilden und was dieses Protein in der gesunden Leber macht, ist völlig unklar – und interessiert uns sehr», sagt Moor. Die Frage nach der Funktion bleibt also offen.

Zurück zur sesshaften Form

Geklärt haben die Forschenden um Moor hingegen, dass der direkte Kontakt zwischen Plexin und Semaphorin tiefgehende Veränderungen in den Darmkrebszellen auslöst. Um aus dem Ersttumor auszubrechen, müssen die Krebszellen ihre Identität ändern: Sie verlieren ihre Zugehörigkeit zur Deckschicht im Darm, dem sogenannten Epithel, und kappen die engen Verbindungen zu ihren Nachbarzellen.

Unterwegs im Blutstrom gleichen die Krebszellen dann Zellen aus dem Bindegewebe (dem sogenannten Mesenchym). Doch wenn sie – dank dem Plexin auf einigen Leberzellen – ihre neue Nische finden, entwickeln sich die Krebszellen wieder zur sesshaften Form zurück: «Es findet eine Epithelialisierung statt», schreiben die Forschenden. «Das sieht man den Krebszellen auch sofort an, denn sie bilden Einstülpungen aus, die den Falten oder Krypten im Darm ähneln», sagt Moor.

Empfindliches Zeitfenster

Die Entdeckung dürfte nicht nur für Darmkrebsbetroffene von Bedeutung sein, denn in weiteren Versuchen haben die Forschenden nachgewiesen, dass Plexin auch beim Melanom und beim Bauchspeicheldrüsenkrebs die Entstehung von neuen Ablegern fördert. Für Moor und sein Team stellen sich viele neue Forschungsfragen. Eine steht dabei im Vordergrund: Wenn Krebszellen zu einem Tumor heranwachsen, beeinflussen sie auch die Zellen in der Umgebung. «Krebszellen bauen sich ihr Ökosystem auf», sagt Moor.

Wenn es gelingt, die für die Einnistung entscheidende Wechselwirkung zwischen Plexin und Semaphorin zu unterbinden, kann man vielleicht den Krebs von Anfang an am Streuen von neuen Ablegern hindern. Denn gleich zu Beginn, wenn die Beziehungen zwischen den Zellen in diesem Ökosystem noch nicht etabliert und eingespielt sind, sind Tumorableger besonders verletzlich, meint Moor. Wenn er von einem «empfindlichen Zeitfenster in der Entwicklung der Metastasen» spricht, wirkt er zuversichtlich, auch wenn der Weg zu einer möglichen Behandlung noch lang ist.

 

Literaturhinweis

Borrelli C, Roberts M, Eletto D, Hussherr MD, Fazilaty H, Valenta T, Lafzi A, Kretz JA, Guido Vinzoni E, Karakatsani A, Adivarahan S, Mannhart A, Kimura S, Meijs A, Baccouche Mhamedi F, Acar IE, Handler K, Ficht X, Platt RJ, Piscuoglio S Moor AE: In vivo interaction screening reveals liver-derived constraints to metastasis. Nature, 24. Juli 2024, doi: externe Seite10.1038/s41586-024-07715-3call_made

 

EVENTS

Swissbau

Führende Plattform der Bau- und Immobilienwirtschaft

Datum: 20.-23. Januar 2026

Ort: Basel (CH)

Empack Schweiz

The Future of Packaging Technology

Datum: 28.-29. Januar 2026

Ort: Bern (CH)

aqua pro

B2B-Plattform in der Schweiz für Fachkräfte des globalen Wasserkreislaufs

Datum: 04.-06. Februar 2026

Ort: Bulle (CH)

analytica

Weltleitmesse für Labortechnik, Analytik, Biotechnologie und analytica conference

Datum: 24.-27. März 2026

Ort: München (D)

Techtextil

Internationale Leitmesse für technische Textilien und Vliesstoffe

Datum: 21.-24. April 2026

Ort: Frankfurt am Main (D)

IFAT

Weltleitmesse für Wasser-, Abwasser-, Abfall- und Rohstoffwirtschaft

Datum: 04.-08. Mai 2026

Ort: München (D)

PFLEGE PLUS

Die Fachmesse PFLEGE PLUS bringt Fachbesucher mit ausstellenden Unternehmen, Branchenverbände sowie Experten des Pflegemarkts zusammen.

Datum: 05.-07. Mai 2026

Ort: Stuttgart (D)

interpack

Führende Messe für Prozesse und Verpackung

Datum: 07.-13. Mai 2026

Ort: Düsseldorf (D)

INDEX

Weltweit führende Ausstellung für Vliesstoffe.

Datum: 19.-22. Mai 2026

Ort: Genf (CH)

ArbeitsSicherheit Schweiz

Fachmesse für Arbeitssicherheit, Gesundheitsschutz und Gesundheitsförderung am Arbeitsplatz

Datum: 20.-21. Mai 2026

Ort: Zürich (CH)

MedtecLIVE with T4M

Fachmesse für die gesamte Wertschöpfungskette der Medizintechnik

Datum: 05.-07. Juni 2026

Ort: Stuttgart (D)

all about automation

Fachmesse für Industrieautomation

Datum: 26.-27. August 2026

Ort: Zürich (CH)

Ilmac Lausanne

Networking. Forum. Aussteller

Datum: 23.-24. September 2026

Ort: Lausanne (CH)

Cleanzone

Internationale Fachmesse und Kongress für Reinraumtechnologie

Datum: 23.-24. September 2026

Ort: Frankfurt am Main (D)

Chillventa

Weltleitmesse der Kältetechnik

Datum: 13.-15. Oktober 2026

Ort: Nürnberg (D)

ZAGG

DER BRANCHENTREFFPUNKT MIT RELEVANTEN GASTRO-TRENDS

Datum: 18.-21. Oktober 2026

Ort: Luzern (CH)

SIAL

Fachmesse für Nahrungsmittel-Innovationen

Datum: 17.-21. Oktober 2026

Ort: Paris (F)

ALL4PACK EMBALLAGE

The global marketplace for Packaging Processing Printing Handling

Datum: 23.-26. November 2026

Ort: Paris (F)

Anuga FoodTec

Internationale Zuliefermesse für die Lebensmittel- und Getränkeindustrie

Datum: 23.-26. März 2027

Ort: Köln (D)

Achema

Internationale Leitmesse der Prozessindustrie

Datum: 14.-18. Juni 2027

Ort: Frankfurt am Main (D)

drupa

Weltweit führende Fachmesse für Drucktechnologien

Datum: 09.-17. Mai 2028

Ort: Düsseldorf (D)

Bezugsquellenverzeichnis