events1
'HI' (2 chars)
events
21 (integer)
healthcare-innovation.ch

Das Neueste

Professor warnt vor Langzeitschäden durch Kokainkonsum

Klimawandel und Urbanisierung beeinflussen Malariarisiko in Kenia

Fortschritte in der Gedächtnisforschung

Nierenschäden durch virale Komplexe

Sensor schützt vor Komplikationen

Nierensteine werden oft schmerzfrei ausgeschieden

Kaffeemaschinen von Schaerer und WMF erhöhen Prozesssicherheit, Kaffeequalität und Kundenerlebnis

Medtech-Branchenstudie 2024

Zahnmedizinischer Durchbruch: Actival und CSEM bringen antibakterielle 3D-Aligner auf den Markt

Genolier Innovation Hub eröffnet

Rückenschmerzen auf den Grund gehen

Die Swiss Abilities gibt Impulse für ein selbstbestimmtes Leben

Erleben Sie die Zukunft der Kommunikation hautnah!

Texcare 2024: Konzentriert auf die Zukunft der Textilpflege

Kein Vorteil durch Stents mit abbaubarer Kunststoffbeschichtung nach Herzinfarkt

Erfolgsrezept Teamgeist: SWISS SVG-Trophy

Für eine Welt ohne Barrieren

Studie: Schweiz fällt beim Zugang zu innovativen Medikamenten zurück

Neue CTO für CSEM

Dummy kommt ins Schwitzen

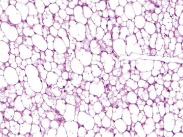
Die beigen Fettzellen mit dem Sisyphos-Mechanismus

Ukraine – Aktive Solidarität sichert Zukunftsperspektiven

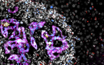
Verhindern, dass Krebszellen die Leber besiedeln

Führung im Gesundheitswesen: Herausforderungen und Lösungen

Demenzdörfer in der Schweiz

Warum der CAS Law for Medics and Health Professionals?

Hygiene im Gesundheitswesen – ein Thema, das uns alle angeht!

Nationaler Swiss Nurse Leaders Jubiläumskongress

Ein wegweisendes Implantat zur Unterstützung der Reproduktionsmedizin

Brustkrebs-Charakterisierung mit KI

Mehr laden

EVENTS

Swissbau

Führende Plattform der Bau- und Immobilienwirtschaft

Datum: 20.-23. Januar 2026

Ort: Basel (CH)

Empack Schweiz

The Future of Packaging Technology

Datum: 28.-29. Januar 2026

Ort: Bern (CH)

aqua pro

B2B-Plattform in der Schweiz für Fachkräfte des globalen Wasserkreislaufs

Datum: 04.-06. Februar 2026

Ort: Bulle (CH)

analytica

Weltleitmesse für Labortechnik, Analytik, Biotechnologie und analytica conference

Datum: 24.-27. März 2026

Ort: München (D)

Techtextil

Internationale Leitmesse für technische Textilien und Vliesstoffe

Datum: 21.-24. April 2026

Ort: Frankfurt am Main (D)

IFAT

Weltleitmesse für Wasser-, Abwasser-, Abfall- und Rohstoffwirtschaft

Datum: 04.-08. Mai 2026

Ort: München (D)

PFLEGE PLUS

Die Fachmesse PFLEGE PLUS bringt Fachbesucher mit ausstellenden Unternehmen, Branchenverbände sowie Experten des Pflegemarkts zusammen.

Datum: 05.-07. Mai 2026

Ort: Stuttgart (D)

interpack

Führende Messe für Prozesse und Verpackung

Datum: 07.-13. Mai 2026

Ort: Düsseldorf (D)

INDEX

Weltweit führende Ausstellung für Vliesstoffe.

Datum: 19.-22. Mai 2026

Ort: Genf (CH)

ArbeitsSicherheit Schweiz

Fachmesse für Arbeitssicherheit, Gesundheitsschutz und Gesundheitsförderung am Arbeitsplatz

Datum: 20.-21. Mai 2026

Ort: Zürich (CH)

MedtecLIVE with T4M

Fachmesse für die gesamte Wertschöpfungskette der Medizintechnik

Datum: 05.-07. Juni 2026

Ort: Stuttgart (D)

all about automation

Fachmesse für Industrieautomation

Datum: 26.-27. August 2026

Ort: Zürich (CH)

Ilmac Lausanne

Networking. Forum. Aussteller

Datum: 23.-24. September 2026

Ort: Lausanne (CH)

Cleanzone

Internationale Fachmesse und Kongress für Reinraumtechnologie

Datum: 23.-24. September 2026

Ort: Frankfurt am Main (D)

Chillventa

Weltleitmesse der Kältetechnik

Datum: 13.-15. Oktober 2026

Ort: Nürnberg (D)

ZAGG

DER BRANCHENTREFFPUNKT MIT RELEVANTEN GASTRO-TRENDS

Datum: 18.-21. Oktober 2026

Ort: Luzern (CH)

SIAL

Fachmesse für Nahrungsmittel-Innovationen

Datum: 17.-21. Oktober 2026

Ort: Paris (F)

ALL4PACK EMBALLAGE

The global marketplace for Packaging Processing Printing Handling

Datum: 23.-26. November 2026

Ort: Paris (F)

Anuga FoodTec

Internationale Zuliefermesse für die Lebensmittel- und Getränkeindustrie

Datum: 23.-26. März 2027

Ort: Köln (D)

Achema

Internationale Leitmesse der Prozessindustrie

Datum: 14.-18. Juni 2027

Ort: Frankfurt am Main (D)

drupa

Weltweit führende Fachmesse für Drucktechnologien

Datum: 09.-17. Mai 2028

Ort: Düsseldorf (D)

Bezugsquellenverzeichnis